Login to BlackFacts.com using your favorite Social Media Login. Click the appropriate button below and you will be redirected to your Social Media Website for confirmation and then back to Blackfacts.com once successful.
Enter the email address and password you used to join BlackFacts.com. If you cannot remember your login information, click the “Forgot Password” link to reset your password.
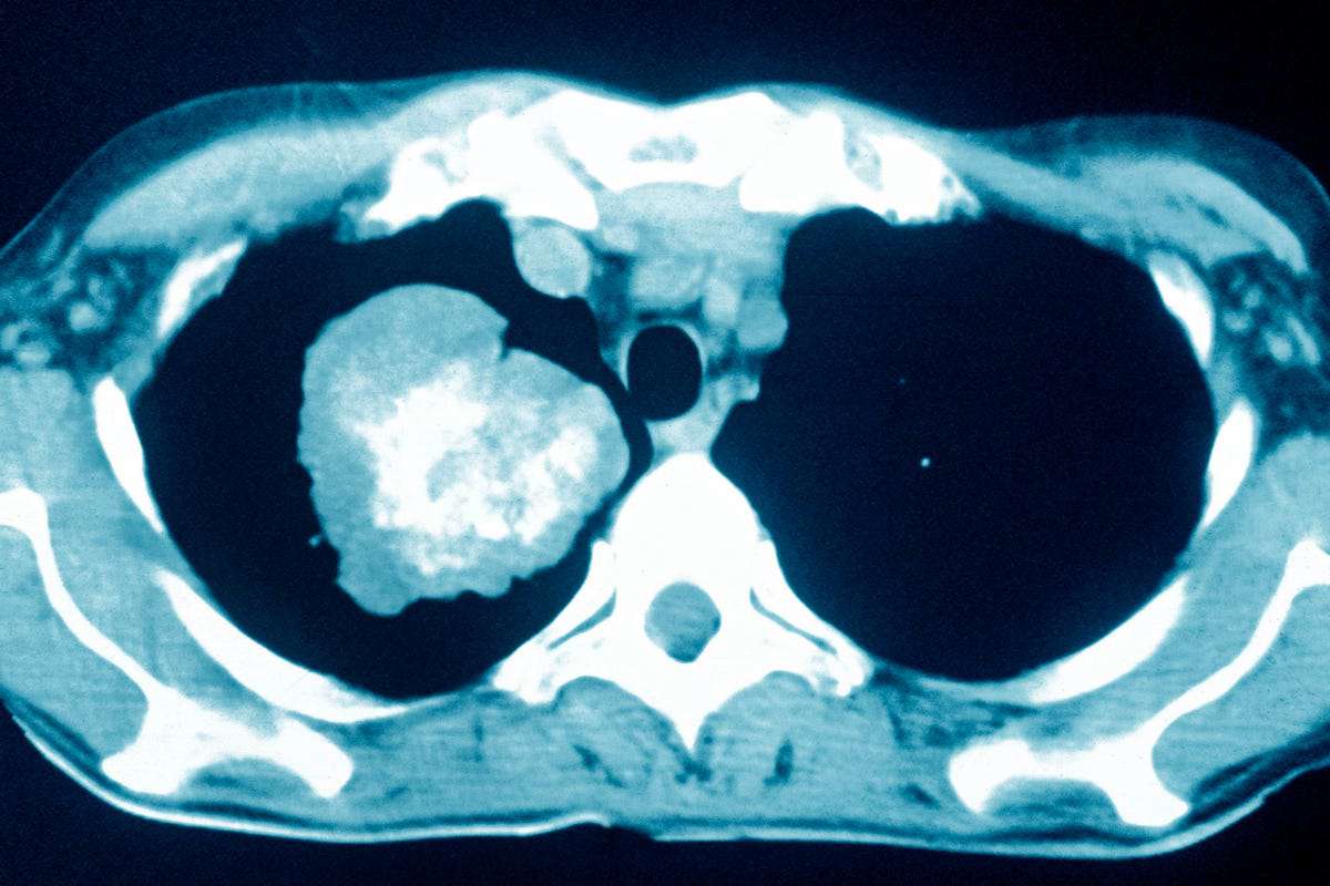
Low Dose CT is a special form of x-ray that allows for three-dimensional images of your lungs to detect lung cancer at a stage it may not be visible with standard x-rays. The good news is the exam takes 1-2 minutes to complete and is completely non-invasive.
Sorry that there are no other Black Facts here yet!
This Black Fact has passed our initial approval process but has not yet been processed by our AI systems yet.
Once it is, then Black Facts that are related to the one above will appear here.